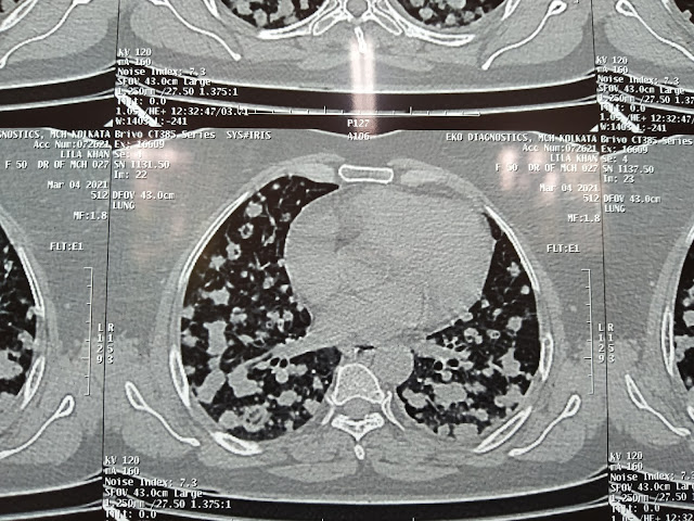
" Flower in the lung sign " 🌺
This 50 years young female presented with occasional dry cough and chest pain during coughing in our OPD ,on x ray looks like canon Ball Metastasis and that was confirmed by CT Thorax. The CT plate looks beautiful overall like flowers inside lung parenchyma, on biopsy came to be 'non small cell carcinoma' .







0 Comments