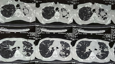
The Difference Between 'MONOD SIGN' vs 'AIR CRESCENT SIGN' and the 'BEST DRUMSTICK CLUBBING' - all in one patient.



 


MONOD sign is seen in ASPERGILLOMA or any Fungal Ball in a pre existing cavity ....Here the 1st 2 images are showing Monod sign, in contrary Air CRESCENT sign seen in Invasive Aspergillosis in RECOVERY phase as invasion reduce air seen between fungus and cavity wall. 


Below 3 images are showing Drumstick 🍗 like clubbing ( Grade 4) . 

Are are from a same patient...as his history was past history of un treated TB which leads to healing by fibrosis and broncheactasis leads the clubbing and also colonization with aspergilloma. He was complaint of occasional harmoptysis. We planned him for FOB (Bronchoscopy) guided intra- cavity Amphotericin- B for consecutive 5 days.   

Post a Comment

0 Comments